|
产品编号 |
简称 |
孔径(mm) |
|
14953 |
12Ø |
10Ø |
主体、算盘珠密封珠:PTFE
螺帽:PFA
简称表示适用管外径(mm)。
确认材料的耐药性 >> 耐药性检索

产品特征:特点
L型联合连接头用于连接氟树脂管。
密封采用算盘珠密封珠。
BLZ-945
- 详细信息
- 询价记录
- 相关实验
-
- 货号:
AG-CR1-3609-M001
- CAS号:
953769-46-5
- 供应商:
上海金畔生物科技有限公司
- 数量:
1
- 英文名:
BLZ-945
- 规格:
1mg
溶于 DMSO。微溶于乙醇。不溶于水。温馨提示:不可用于临床治疗。风险提示:仅作为第三方平台,为商家信息发布提供平台空间。用户咨询产品时请注意保护个人信息及财产安全,合理判断,谨慎选购商品,商家和用户对交易行为负责。对于医疗器械类产品,请先查证核实企业经营资质和医疗器械产品注册证情况。
- 货号:

硅胶干燥剂在植物学研究中的应用
硅胶干燥剂在植物学研究中的应用
硅胶常用于各种样品的除湿和干燥。
在植物学实验中,可以使用硅胶对植物材料进行干燥处理,以进行后续的DNA分析。
在进行生态学、植物学野外调查时需要采集植物样本,但又常常缺乏低温或液氮速冻装置进行处理,可使用硅胶进行干燥。
如Chase[1] 等人比较了从血草科和马鞭草科的新鲜植物叶和硅胶干燥样品中提取的总DNA,结果表示经硅胶干燥的植物样品中的DNA仍可保持完整。
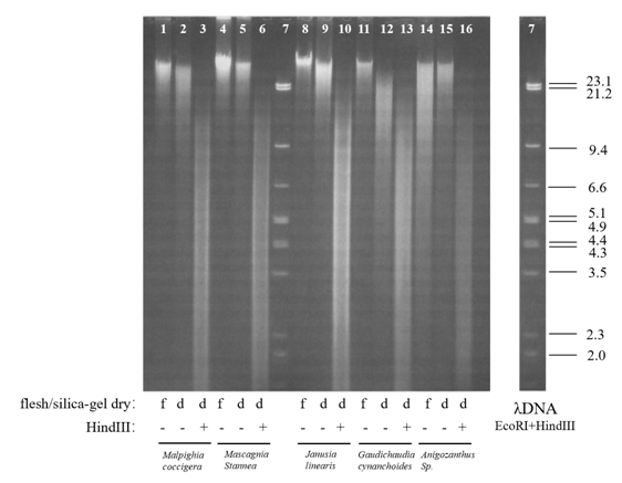
图1
硅胶干燥与从新鲜叶片中用CTAB法提取的DNA样品,进行限制性内切酶消化前后的电泳比较(0.7% Agarose)。
结果表明6个物种的叶片,经过硅胶干燥后基因组DNA完整性仍较高,基因组里面的酶切位点依然保留从而可以被限制性内切酶酶切。
Chase, et al., 1991
图2
野外用硅胶干燥的叶片保存4-8周后,用CTAB法提取基因组DNA,进行限制性内切酶消化前后的电泳比较(0.7% Agarose)。
结果表明8个物种的叶片,经过硅胶干燥后在野外环境中保存一段时间,基因组DNA完整性仍较高,基因组里面的酶切位点依然保留从而可以被限制性内切酶酶切。
Chase, et al., 1991
◆应用示例
使用硅胶对植物样品进行干燥(适用于DNA 提取):
1. 采集后应快速用灭菌水浸湿的无纺布或无尘纸将其表面的灰尘及泥土擦净后放入纸袋或无纺布袋中。
2. 应在容器中放一层干燥的变色硅胶后将已装入样本的分子材料袋放在变色硅胶上,再加入足量的硅胶至完全覆盖袋子。
3. 应每天检查变色硅胶颜色变化,更换变色硅胶直至其颜色不再发生明显变化
引用自团体标准T/SZAS 23—2020《植物组织材料采集与处理技术规范》
FUJIFILM Wako可提供蓝色和绿色两种变色硅胶,用于植物或其他样品的除湿和干燥。其中蓝色硅胶以氯化钴作为指示剂,绿色硅胶则使用不含钴的有机染料作为指示剂。
图3. 硅胶不同颜色对应的不同相对湿度
◆产品列表
硅胶(蓝色)
含有氯化钴的变色硅胶。吸收水分后,硅胶的颜色会从蓝色变为粉红
|
产品编号 |
产品名称 |
包装 |
|
198-18287 |
Silica Gel, Large Granular, Blue |
12.5 kg |
|
192-18285 |
500 g |
|
|
198-18307 |
Silica Gel, Medium Granular, Blue |
12.5 kg |
|
190-18301 |
3 kg |
|
|
192-18305 |
500 g |
|
|
199-18295 |
Silica Gel, Small Granular, Blue |
500 g |
硅胶(绿色)
不含氯化钴的变色硅胶,可放心使用。吸收水分后,硅胶的颜色会从绿色变为粉红色再变为橙色。
|
产品编号 |
产品名称 |
产品规格 |
|
191-16675 |
Silica Gel, Large Granular, Mixed(Green) |
500 g |
|
190-16667 |
Silica Gel, Large Granular, Green |
12.5 kg |
|
194-16665 |
500 g |
|
|
193-16657 |
Silica Gel, Medium Granular, Mixed(Green) |
12.5 kg |
|
197-16655 |
500 g |
|
|
196-16647 |
Silica Gel, Medium Granular, Green |
12.5 kg |
|
198-16641 |
3 kg |
|
|
190-16645 |
500 g |
|
|
193-16635 |
Silica Gel, Small Granular, Mixed(Green) |
500 g |
|
196-16625 |
Silica Gel, Small Granular, Green |
500 g |
◆参考文献
|
1. |
Chase, M. W., & Hills, H. H. (1991). Silica gel: an ideal material for field preservation of leaf samples for DNA studies. Taxon, 40(2), 215-220. |
NUNC 330050 Nunc条形码扫描器,USB接口扫描器 Handheld Barcode Scanner USB
NUNC 330050 Nunc条形码扫描器,USB接口扫描器 Handheld Barcode Scanner USB Life Science- Storage and Drug Discovery 1 1 10671