多聚ADP-核糖基化修饰[PARylation:Poly(ADP-ribosyl)ation]
一种重要的翻译后修饰
![2315402730481177.jpg 多聚ADP-核糖基化修饰[PARylation:Poly(ADP-ribosyl)ation]](http://www.boppard.cn/upfiles/images/201810/2315402730481177.jpg)
![0916284798391389.jpg 多聚ADP-核糖基化修饰[PARylation:Poly(ADP-ribosyl)ation]](http://www.utopbio.com/wp-content/uploads/2021/08/20210821_61210201d7bb4.jpg)
图:多聚ADP-核糖基化修饰和PAR去除的原理示意图(源自N.J. Curtin & C. Szabo; Nat. Rev. Drug Discov. 19, 711 (2020))
多聚ADP-核糖基化修饰[PARylation:Poly(ADP-ribosyl)ation],是一种翻译后修饰过程(类似于磷酸化、甲基化或乙酰化等修饰),通过该过程,ADP-核糖的聚合物(ADP-核糖残基在2~200或以上的pADPr或PAR)可利用PAR聚合酶(PARP)酶共价结合至核蛋白上。多聚ADP-核糖基化的翻译后修饰[PARylation:Poly(ADP-ribosyl)ation]在细胞生理学和应激反应中发挥着重要的作用。这种修饰由多聚ADP-核糖聚合酶(PARPs,也称为ARTDs)的家族成员进行催化。它还参与许多生物学进程,包括基因组稳定性维持、DNA损伤反应、DNA修复、复制和转录、染色质重塑、应激反应、细胞代谢和细胞死亡的调控。此外,PARPs在癌症治疗中是具有应用潜力的靶点,可作为化疗增敏剂与传统的DNA损伤化疗结合使用,也可以单独作为药物应用于缺乏同源重组的肿瘤。
◆多聚ADP-核糖聚合酶(PARPs)
多聚ADP-核糖(PAR)对核蛋白的翻译后修饰,主要由多聚ADP-核糖聚合酶1(PARP-1/ARTD1)催化,少部分以NAD+为底物,由其他的多聚ADP-核糖聚合酶进行催化。PARP-1是一种高含量且高度保守的、呈组成性表达的蛋白。然而,其催化活性主要取决于DNA单链或双链断裂的出现,这种断裂的出现可以被该酶的DNA结合结构域中的两个锌指所识别。
PARP-1被DNA链断裂选择性激活后,会催化PAR的长支链添加至各种核蛋白上,尤其是PARP自身。在DNA损伤的活细胞所形成的PAR量与细胞损伤程度相称。在DNA损伤的条件下,PAR会发生急剧的衰变,半衰期只有几分钟,这是因为PAR被多聚ADP-核糖水解酶(PARG)迅速水解并转化为游离的ADP-核糖。
除自动修饰的PARP-1外,还有许多蛋白已被认定为多聚ADP-核糖基化修饰的靶蛋白(受体),其中包括染色质-结构蛋白DEK。更重要的是,已表明PAR是以非共价但特异性的方式与多种蛋白质结合的。PAR这种非共价结合与特异性结合的蛋白(即XPA、p53、WRN)之间有着高亲和力(nM级),其同时取决于PAR链长和结合蛋白,表明其中存在着一种“PAR代码”。
如上所述,PAR不仅参与调节细胞存活和细胞死亡的程序,还被发现可以调节与PARP家族新成员相关的越来越多的其他生物学进程,包括转录调节、细胞分裂、细胞内运输、炎症和能量代谢等进程。
参考文献:
|
1. |
Functions of PARylation in DNA Damage Repair Pathways: H. Wei & X. Yu; Gen. Prot. Bioinform. 14, 131 (2016) |
|
2. |
In Vivo Level of Poly(ADP-ribose): M. Miwa, et al.; Challenges 9, 23 (2018) |
|
3. |
The Enigmatic Function of PARP1: From PARylation Activity to PAR Readers: T. Kamaletdinova, et al.; Cells 8, 1625 (2019) |
|
4. |
Novel insights into PARPs in gene expression: regulation of RNA metabolism: Y. Ke, et al.; Cell. Mol. Life Sci. 76, 3283 (2019) |
|
5. |
Poly(ADP-Ribose) Glycohydrolase (PARG) vs. Poly(ADP-Ribose) Polymerase (PARP) – Function in Genome Maintenance and Relevance of Inhibitors for Anti-cancer Therapy: D. Harrision, et al.; Front. Mol. Biosci. 7, 191 (2020) |
|
6. |
Poly(ADP- ribose) polymerase inhibition: past, present and future: N.J. Curtin & C. Szabo; Nat. Rev. Drug Discov. 19, 711 (2020) |
◆用于PAR & PARP研究的高质量试剂
|
标准抗体:抗多聚ADP-核糖[PAR],mAb(10H) |
可提供批量包装的产品! |
在PARP领域具有新进展的大部分研究,特别是与酶的催化活性相关的,都是得益于新型ADP核糖检测试剂的开发。几十年来,这个领域一直依赖于抗PAR单抗(产品编号:AG-20T-0001),这种单克隆抗体可以与长度超过10个ADP核糖单位的PAR链结合,甚至可以在完整细胞水平上通过免疫荧光对多聚ADP-核糖(PAR)可视化。因此,这种抗PAR(10H)抗体被认为是多聚ADP-核糖基化修饰领域的标准抗体,并已刊登于数百种出版物中。这种抗体目前已应用于western blot、免疫组化、免疫细胞化学和流式细胞术的研究中。该抗体可以识别由多种PARP多聚ADP-核糖聚合酶合成的多聚ADP-核糖,如人、小鼠、大鼠或果蝇的PARP酶。
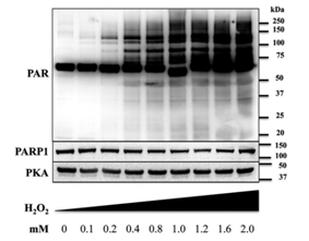
![0916284803425369.png 多聚ADP-核糖基化修饰[PARylation:Poly(ADP-ribosyl)ation]](http://www.utopbio.com/wp-content/uploads/2021/08/20210821_6121020221349.png)
图:使用了抗PAR(10H)的典型western blot图。该图显示U937细胞对H2O2有着剂量依赖性,且使用H2O2诱导多聚ADP-核糖基化(PARP-1激
图:活),在10 min时检测到的PARP-1激活阈值为200 mM。根据对照泳道,表明PARP-1和PKA在相同实验条件下的蛋白水平不变。
图:(A. Brunyanszki, et al.; Mol. Pharmacol. 86, 450 (2014))
◆产品列表
高活性PARPs&PARG
|
产品编号 |
产品名称 |
包装 |
产品描述 |
|
AG-40T-0010 |
PARP-1 [ARTD1] (catalytic domain) (human) (rec.) (His) 重组人PARP-1 [ARTD1](催化结构域)(His标签) |
20 µg |
人PARP-1 [ARTD1](aa 656-1014)与MYC 和His-tag结合。 在Sf21细胞中产生。活性:形成多聚ADP-核糖 需要约50 ng。 |
|
AG-40T-0011 |
PARP-1 [ARTD1] (human) (rec.) (His) (high purity) 重组人PARP-1 [ARTD1](His标签)(高纯度) |
10 µg |
人全长PARP-1 [ARTD1]与MYC和His-tag结 合。在Sf21细胞中产生。活性:≥1200 U/mg 蛋白。 |
|
AG-40T-0012 |
PARP-2 [ARTD2] (mouse) (rec.) (His) (high purity) 重组人PARP-2 [ARTD2](His标签)(高纯度) |
10 µg |
小鼠全长PARP-2[ARTD2]与His-tag结合。在 Sf21细胞中产生。活性:≥600 U/mg蛋白。 |
|
AG-40T-0013 |
PARP-3 [ARTD3] (human) (rec.) (His) (high purity) 重组人PARP-3 [ARTD3](His标签)(高纯度) |
10 µg |
人全长PARP-3[ARTD3]与HA-tag和His-tag结 合。在Sf21细胞中产生。活性:10 U/mg蛋白 (仅指单ADP-核糖基转移酶活性)。 |
|
AG-40T-0015 |
PARP-1[ARTD1](E988K Mutant) (human) (rec.) Control 重组人PARP-1 [ARTD1](E988K 突变)对照 |
10 µg |
人全长PARP-1的失活突变E988K与HA-tag和 His-tag结合。在Sf21细胞中产生。活性:野生 型PARP-1的0.5%。 |
|
AG-40T-0022 |
PARG (human) (rec.) (His) (highly active) 重组人PARG(His标签)(高活性) |
2 µg |
人PARG与His-tag结合。 在Sf21细胞中产生。活性:多聚ADP-核糖的降 解实验需要约100 ng。 |
特异性PARP抗体
|
产品编号 |
产品名称 |
包装 |
产品描述 |
|
AG-25T-0001 |
anti-PARP-1 [ARTD1] (mouse), pAb 抗小鼠聚ADP核糖聚合酶-1[ARTD1]多抗 |
100 µL |
可识别小鼠PARP-1[ARTD1]。与人PARP-1的 交叉反应较弱。适用于ICC、IHC、IP和 Western blot。 |
|
AG-25T-0002 |
anti-PARP-1 [ARTD1] (human), pAb 抗人聚ADP核糖聚合酶-1[ARTD1]多抗 |
100 µL |
可识别人PARP-1[ARTD1]。与小鼠、猴PARP- 1的交叉反应较弱。适用于ICC、IHC、IP和 Western blot。 |
|
AG-25T-0003 |
anti-PARP-2 [ARTD2] (mouse), pAb 抗小鼠聚ADP核糖聚合酶-2[ARTD2]多抗 |
100 µL |
可识别小鼠PARP-2[ARTD2]。与人PARP-2的 交叉反应较弱。适用于ICC、IHC、IP和 Western blot。 |
|
AG-20T-0004 |
anti-PARP-10 [ARTD10] (human), mAb (5H11) 抗人PARP-10 [ARTD10]单抗(5H11) |
1 mL |
可识别抗原表位在aa 256-407之间的,包含 甘氨酸富集区的人PARP-10 [ARTD10]。适用 于ICC、IP和Western blot。 |
PARPs&PARG的小分子调节剂
|
产品编号 |
产品名称 |
包装 |
产品描述 |
|
SYN-1190 |
AS-703026 |
1 mg |
具有选择性、非竞争性和口服生物有效性的 MEK1/2抑制剂,可通过caspase-3和PARP裂 解在多发性骨髓瘤细胞中诱导凋亡。 |
|
5 mg |
|||
|
10 mg |
|||
|
50 mg |
|||
|
100 mg |
|||
|
SYN-3046 |
AZ9482 |
1 mg |
强效和选择性PARP抑制剂(PARP- 1、-2、-3、-6,TNKS1/PARP-5a和TNKS2对 应的IC50分别为1、1、46、640、9和160 nM)。 |
|
5 mg |
|||
|
10 mg |
|||
|
50 mg |
|||
|
100 mg |
|||
|
BVT-0079 |
Benadrostin |
500 µg |
稀有的天然PARP抑制剂(IC50=35 μM)。 |
|
1 mg |
|||
|
AG-CR1-0037 |
DPQ |
1 mg |
细胞渗透性强、有效的PARP-1抑制剂(IC50= 40 nM)。对PARP-2的效力比PARP-1低10倍 左右。 |
|
5 mg |
|||
|
AG-CR1-3706 |
GeA-69 |
1 mg |
针对多聚腺苷二磷酸核糖聚合酶14(PARP-14 M2)(Kd=0.86 µM)的macrodomain结构 域2的强效和选择性变构抑制剂。PARP-14是一 种与炎症性疾病和多种癌症相关的抗凋亡促活 蛋白。 |
|
AG-CN2-0481 |
Genipin 京尼平 |
25 mg |
诱导PARP裂解和诱导由caspase-3-、 caspase-9介导的细胞凋亡。 |
|
100 mg |
|||
|
500 mg |
|||
|
AG-CR1-0024 |
1,5-Isoquinolinediol 1,5-异喹啉二醇 |
5 mg |
细胞渗透性强、有效的PARP-1抑制剂 (IC50=0.39 μM)。 |
|
25 mg |
|||
|
100 mg |
|||
|
AG-CR1-3581 |
IWR-1-endo Wnt抑制剂 |
5 mg |
细胞渗透性强的Tankyrase-1/PARP- 5a(IC50=131 nM)和Tankyrase-2/PARP- 5b(IC50=56 nM)抑制剂(体外自 PARylation研究)。 |
|
25 mg |
|||
|
CDX-M0565 |
MK-4827 tosylate MK-4827甲苯磺酸盐 |
10 mg |
PARP-1和PARP-2的口服生物有效性抑制剂 (IC50分别为3.8、2.1 nM)。 |
|
50 mg |
|||
|
CDX-O0144 |
Olaparib 奥拉帕尼 |
100 mg |
细胞渗透性强的PARP-1和PARP-2的有效抑制 剂(IC50分别为5、1 nM)。抗Tankyrase- 1/PARP-5a的效果较弱(IC50=1.5 μM)。 |
|
1 g |
|||
|
AG-CR1-0100 |
PJ-34 PARP抑制剂 |
1 mg |
细胞渗透性强的水溶性PARPs有效抑制剂 (EC50 = 20 nM)。能结合并抑制 Tankyrase-1/PARP-5a(IC50=1 μM)。 |
|
5 mg |
|||
|
25 mg |
|||
|
AG-CR1-3646 |
PARG Inhibitor PDD00017273 聚(ADP-核糖)糖水解酶(PARG)抑制剂PDD00017273 |
1 mg |
有效的PARG抑制剂。抑制人重组PARG酶 (IC50=26 nM)以及用于细胞研究(IC50=37 nM)。对ARH3和PARP-1s无活性 (IC50>30 µM)。 |
|
5 mg |