- 详细信息
- 询价记录
- 相关实验
- 技术资料
-
- 货号:
10800
- 克隆性:
多克隆
M30 CytoDEATH™抗体
M30 CytoDEATH™ antibodies◆原理

细胞凋亡过程中很多内源性蛋白发生水解。介导这些水解的酶主要是caspase。其中caspase的主要底物是上皮细胞表达的角蛋白18(K18,Cytokeratin 18 或者CK18) (Caulin et al., 1997)。
M30 CytoDEATH™抗体识别经caspase催化水解角蛋白18后在角蛋白Asp396处形成的新表位(K18Asp396-NE, M30 新表位) (Leers et al., 1999). M30 CytoDEATH™不结合正常细胞来源的天然,非修饰的K18。M30 CytoDEATH™可检测上皮细胞和上皮细胞来源的组织部分凋亡。
M30 CytoDEATH™ 抗体可用于免疫组化实验(福尔马林固定、石蜡包埋的切片和冰冻切片),免疫细胞组化和流式。M30 CytoDEATH™的阳性对照是凋亡细胞的胞质。◆案例・应用
PEVIVA M30 CytoDEATH™ 抗体实验结果
M30 CytoDEATH™ unlabeled
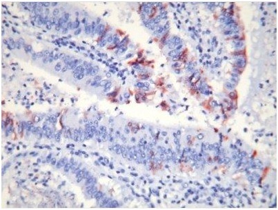
Figure – 福尔马林固定,石蜡包埋的人结肠癌组织样品检测细胞凋亡,胞质部分用PEVIVA 的M30 CytoDEATH™ 染色caspase-cleaved角蛋白18(ccK18)。二抗用抗小鼠IgG(生物素标记),亲和素-POD,AEC作为底物。苏木.精复染。
图片由Dr. Marius Nap, Heerlen, the Netherlands提供。PEVIVA的 M30 CytoDEATH™ 生物素标记抗体
M30 CytoDEATH™ Biotin mAb
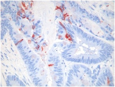
Figure –福尔马林固定,石蜡包埋的人结肠癌组织样品检测细胞凋亡,胞质部分用PEVIVA 的M30 CytoDEATH™ 染色caspase-cleaved角蛋白18(ccK18)。二抗用抗小鼠IgG(生物素标记),亲和素-POD,AEC作为底物。苏木.精复染。
图片由Dr. Marius Nap, Heerlen, the Netherlands提供。PEVIVA M30 CytoDEATH™ 荧光素标记抗体
M30 CytoDEATH™ Fluorescein mAb
Figure – Hela细胞用CHX和TRAIL处理后显示长久和很强的caspase活性,用PEVIVA的M30 CytoDEATH™ 荧光素抗体检测(A)caspase-cleaved K18的积累,与单独用非毒性低浓度CHX处理的样品对比(B)。
更多运用案例
产品编号 产品名称 产品规格 产品等级 产品价格 10700 M30 CytoDEATH™ unlabeled 200 tests 10750 M30 CytoDEATH™ Biotin mAb 200 tests 10800 M30 CytoDEATH™ Fluorescein mAb 200 tests 10830 M30 CytoDEATH™ Orange mAb 200 tests 风险提示:仅作为第三方平台,为商家信息发布提供平台空间。用户咨询产品时请注意保护个人信息及财产安全,合理判断,谨慎选购商品,商家和用户对交易行为负责。对于医疗器械类产品,请先查证核实企业经营资质和医疗器械产品注册证情况。
- 货号:
-
该产品暂未上传技术资料
免费索取技术资料
