- 详细信息
- 询价记录
- 相关实验
-
货号: MBG-PMW20-1001 供应商: 上海金畔生物科技有限公司 数量: 1 英文名: Mebiol((R)) Gel 保存条件: 室温 规格: 1*10mL Mebiol(R) Gel 促销活动即时开始至2016/12/31止【活动编号:MEBIOLGEL_TRIAL】
可用于3D细胞培养和其他领域
PNIPAAm-PEG;聚N-异丙基丙烯酰胺和聚乙二醇的嵌段共聚物
水凝胶具有聚合材料的多种特征,如网络结构和高含水量,目前他广泛的运用于医药生命科学等多种领域,但不仅限于3D培养、组织工程和药物传送这些。聚N-异丙基丙烯酰胺和聚乙二醇的嵌段共聚物早在2000年初就已经商业化,研究证明,Mebiol® Gel的特性使其非常适合应用于细胞培养和组织工程。

◆原理
Mebiol Gel温敏性水凝胶与市面上其它水凝胶的不同之处在于它可以跟随温度变化进行可逆性溶胶-凝胶转换。当温度降低时,Mebiol Gel为溶胶状态(像液体),当温度较高时形成水凝胶。在实验操作中,该特性特别有利于进行细胞操作,比如可轻松向冷却的Mebiol Gel中加入培养基,可通过给培养瓶降温的方式进行细胞离心收集。在凝胶状态时,Mebiol Gel的高亲脂性为细胞增殖、细胞信号转导、气体质量交换以及细胞和组织对剪切力的防御等提供了非常有效的生长环境。
◆优点、特色
●易于操作
● 无毒性,生物相容性好
● 100%合成,无病原体
● 透明度高,利于细胞观察
● 性能完善
◆案例、应用
● 干细胞和多能干细胞培养,增殖和分化
● 3D细胞培养
● 细胞移植
● 器官和组织再生
● 药物传递
● 非细胞培养应用
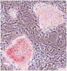
1. Mebiol® Gel中培养原发性肿瘤细胞
选取人肿瘤组织中的原发性肿瘤细胞进行培养该技术能够鉴定来自患者的原发性肿瘤细胞的表征,因此可根据其主要细胞化学敏感性,恶性肿瘤,转移酶活性和其 它参数对患者的治疗进行评估。在胶原或者3D凝胶中培养原发性肿瘤细胞,纤维细胞的过度生长可能对其产生抑制作用。而成纤维细胞在Mebiol® Gel中不容易增殖,因此能选择性增殖原代肿瘤细胞,以便后续进一步分析鉴别。

图 1:人体癌变结肠组织Mebiol® Gel培养10天。
(提供者:Dr. S. Kubota, Dept. of General Surgery, St.Marianna University School of Medicine)
人结肠癌组织在Mebiol® Gel培养10天。只有原发性肿瘤细胞中Mebiol® Gel中增殖。成纤维细胞在Mebiol® Gel中生长受到抑制,而在胶原蛋白和其它许多3D凝胶培养基质中,长满成纤维细胞,阻止癌细胞的增殖。

图 2:细胞生长曲线
2. 干细胞培养
猕猴胚胎干细胞用不含LIF的Mebiol® Gel培养(右图),和2D饲养层培养(左图)相比,发现形态学和碱性磷酸酶染色均未分化。

图 3
左图:2D 饲养层培养。
右图:不含LIF的3D Mebiol® Gel培养(7天)。
提供者:Dr. K. Hishikawa, Dept of Clinical Renal Regeneration, University of Tokyo.
猕猴(灵长类)胚胎干细胞在Mebiol Gel® 培养,碱性磷酸酶染色表现强阳性,表明未分化。

图 4
左图:2D 饲养层培养。
右图:不含LF的3D Mebiol® Gel培养(5天)。
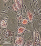
3.球状体形成
Mebiol® Gel 可支持肿瘤细胞系和iPS细胞形成球体。

图 5:粘液表皮样癌(胆管癌)衍生细胞系在Mebiol® Gel中形成球状体。
(提供者: Dr. S. Kubota, Dept. of General Surgery, St. Marianna University School of Medicine)
4. 保持组织结构
Mebiol® Gel提供的环境,有利于维护组织结构在长期培养。

图 6
左图:正常结肠黏膜组织在Mebiol® Gel 中培养7天后。
右图:转移性肝癌组织在Mebiol® Gel 中培养21天后。
(提供者:Dr. S. Kubota, Dept. of General Surgery, St. Marianna University School of Medicine)
5. 体干细胞的选择性分离培养(小鼠胚胎皮肤源)
Epithelial Stem Cells from Dermis by a Three-dimensional Culture System” Journal of Cellular Biochemistry, 98 (1), 174-184 (2006)
6. 体外3-D软骨细胞培养再生软骨组织
Chondrocytes Containing Growth Factors in a Novel Thermoreversible Gelation Polymer Scaffold” Tissue Engineering, 12 (5), 1237-1245 (2006)
7. 体外3-D培养人细胞间质干细胞(hMSC)进行骨诱导
“Gene expression profile of human mesenchymal stem cells during osteogenesis in three-dimensional thermoreversible gelation polymer” Biochem. Biophys. Res. Commun., 317, 1103-1107 (2004).
8. 人类肝细胞3-D培养生产丙型肝炎病毒(HCV)
“Production of infectious hepatitis C virus particles in three-dimensional cultures of the cell line carrying the genome-length dicistronic viral RNA of genotype 1b“ Virology, 351 (2), 381-392 (2006)
9. 通过局部加热进行通道控制(芯片细胞分选系统)
“On-Chip Cell Sorting System Using Laser-Induced Heating of a Thermoreversible Gelation Polymer to Control Flow”, Y. Shirasaki, J. Tanaka, H. Makazu, K. Tashiro, S. Shoji, S. Tsukita, T. Funatsu,Anal. Chem., 78, 695-701 (2006)
产品编号 产品名称 产品规格 MBG-PMW20-1001 Mebiol ® Gel
温敏性水溶胶1*10mL MBG-PMW20-1005 Mebiol ® Gel
温敏性水溶胶5*10mL MBG-PMW20-5001 Mebiol ® Gel
温敏性水溶胶1*50mL MBG-PMW20-5005 Mebiol ® Gel
温敏性水溶胶5*50mL MBG-PMW20-5020 Mebiol ® Gel
温敏性水溶胶20*50mL 货号 名称 规格 目录价 活动价 MBG-PMW20-1001 Mebiol® Gel 1*10ml 5,500 3,300
温馨提示:不可用于临床治疗。资料下载:
MBG_操作说明.pdf 附件下载 (下载 11 次)
请 [登录] 后再下载!
