尼罗红油红O 脂肪染色试剂
Nile Red/Oil Red O
尼罗红油红O 脂肪染色试剂
- 产品特性
- 相关资料
- Q&A
- 参考文献
尼罗红·油红O
脂肪染色试剂
◆特点
● 能使用荧光显微镜以及流式细胞仪进行细胞内脂肪滴检测的活体染色试剂。
● 可简便快捷定量检测细胞内中性脂质等脂质的局部定位。
◆案例
1、尼罗红:小鼠肝脏染色案例

观察到脂肪肝中小叶周边脂肪的堆积
图片提供:大阪保健医疗大学研究院 柴田雅朗,国立循环器官疾病研究中心 斯波真理子
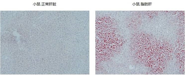
2、油红O:小鼠肝脏 染色案例

观察到脂肪肝中小叶外周性脂肪堆积
欲了解使用方法案例请看相关资料
◆使用方法案例
● 油红O
脂肪(中性脂肪)—橙红色~深红色
保存液—在100mL99%异丙醇添加0.3g油红O,密闭容器60℃,放置过夜,制作饱和溶液。
使用液—保存液:蒸馏水以6:4混合,充分搅拌,10~30分钟后,过滤制成染色液。
● 尼罗蓝—硫酸氢盐
可同时分别染色酸性脂质和中性脂质。
酸性脂质—蓝色、中性脂质—红色
染色液—向100ml蒸馏水中溶解7g尼罗蓝—硫酸氢盐粉末,60℃或者37℃,放置过夜。
制成饱和溶液。然后冷却至室温,使用前请过滤。
● 苏丹Ⅲ
脂肪(中性脂肪)—橙黄色~橙红色
染色液—向100mL 70%酒精溶解2g苏丹Ⅲ,密闭容器60℃,放置过夜,制作饱和溶液。然后冷却至室温,过滤保存。
● 苏丹Ⅳ
苯环添加2个甲基,脂溶性增强,比苏丹Ⅲ的染色效果更稳定。
脂肪(中性脂肪)—橙黄色~橙红色
染色液—向100mL 70%酒精添加苏丹Ⅳ2g,密闭容器60℃,放置一夜,制作饱和溶液。然后在室温冷却,过滤保存。
● 苏丹黑B
和其他苏丹染色比较,染色性稳定。
脂肪—黑色~蓝黑色
染色液—向100mL 70%酒精添加0.1g苏丹黑B,60℃加热溶解。
冷却至室温,过滤后使用。2周内使用。
| 产品编号 | 产品名称 | 产品规格 | 产品等级 | 产品价格 |
| 144-08811 | 尼罗红 Nile Red |
25mg | 病理研究用 | - |
| 140-08813 | 尼罗红 Nile Red |
100mg | 病理研究用 | - |
| 154-02072 | 油红O Oil Red O |
25g | 病理研究用 | - |
| 141-06822 | 尼罗蓝—硫酸氢盐 Nile Blue Hydrogensulfate |
25g | 病理研究用 | - |
| 192-04392 | 苏丹Ⅲ Sudan III |
25g | 和光特级 | - |
| 194-07652 | 苏丹红IV Sudan IV |
25g | 和光一级 | - |
| 192-04412 | 苏丹黑B Sudan Black B |
25g | 和光一级 | - |