自噬研究用抗体
自噬研究用抗体
- 产品特性
- 相关资料
- Q&A
- 参考文献
自噬研究用抗体
◆兔抗大鼠LC3
LC3是芽殖酵母自噬相关蛋白Atg8的哺乳类类似物。LC3在细胞质上合成后,切除C末端形成LC3-I。LC3-I与E1样泛素连接酶Atg7、E2样泛素连接酶Atg3携带的磷脂结合形成LC3-II。LC3-II结合形成自噬膜型。因此,LC3被用做自噬的标志物之一。本产品可同时识别LC3-I、LC3-II。
● 形状:抗血清。不含防腐剂、稳定剂
● 抗原:合成肽,与大鼠LC3B的氨基酸序列5-18 相当
● 特异性:与人、大鼠、小鼠LC3B反应
实际稀释倍率:免疫细胞化学 1:200~500(共聚焦显微镜)
Western blotting 1:500~5,000
● 推荐稀释缓冲液:1% BSA in 20mmol/l Tris-HCl(pH 7.5), 0.15mol/l NaCl, 0.1% NaN3
※ 背景较高情况下,请使用加了0.1%Tween20的稀释缓冲液。
小鼠MEF提取液Western blotting
|
|
用SDS-PAGE分离MEF(小鼠胎儿成纤维细胞)提取液,转至PVDF膜后,将本品作为第一抗体,进行Western blotting。 一抗:本品(1:5,000)、室温、反应1小时 二抗:HRP标记 山羊抗兔IgG(1:20,000),室温、反应1小时 (数据提供:顺天堂大学医学部生化学 第一讲座 上野隆) |
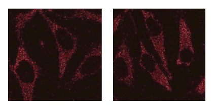
HeLa细胞的荧光染色
|
|
样品:经多聚甲醛固定和毛地黄皂苷处理的HeLa细胞 封闭液:1% BSA和含1%正常羊血清的20mmol/lTris-HCl(pH7.5), 0.15mol/l NaCl, 0.1% NaN3、30℃、反应1小时 一抗:本品(1:500)、30℃、反应1小时 二抗:Cy3标记羊抗兔IgG(1:2,000)、30℃、反应1小时 (数据提供:顺天堂大学大学院医学研究科研基地ー吉川美加) |
|
产品编号 |
产品名称 |
规格 |
容量 |
|
010-22841 |
Anti Rat LC3, Rabbit |
免疫组化用 |
50μl |
◆兔抗SQSTM1/A170/p62
SQSTM1/A170/p62是泛素结合蛋白,氧化应激反应依赖性表达。SQSTM1/A170/p62的异常化,会导致骨代谢异常、肥胖、2型糖尿病等。近来有报道称SQSTM1/A170/p62可与自噬相关因子LC3结合,因此在诱导泛素/蛋白酶体系到自噬系的蛋白质分解方面备受关注。
● 形状:大肠杆菌蛋白质吸收后,2倍稀释的抗血清。防腐剂含0.1%的NaN3。
● 抗原:小鼠SQSTM1(A170)的氨基酸序列254-333重组体(N末端含T7tag,C末端含His tag)
● 特异性:与大小鼠SQSTM1(A170/ZIP)反应;与人SQSTM1(A170/ZIP)反应极弱。
● 实际稀释倍率:Western blotting 1:200;
免疫组织染色 1:1,000
免疫荧光染色 1:1,000
小鼠MEF提取液的Western blotting
|
|
固定:4%多聚甲醛 包埋:石蜡包埋 染色:亲和素-生物素- 过氧化物酶素法 一抗:本品 1:1,000 二抗:生物素标记抗兔IgG (数据提供:鸟取大学 中曾一裕) |
|
产品编号 |
产品名称 |
规格 |
容量 |
|
018-22141 |
Anti SQSTM1/A170/p62, Rabbit SQSTM1/A170/p62抗体 |
免疫组化用 |
100μl |
◆兔抗人Atg7
Atg7是自噬反应中形成自噬体所必须的基因之一。能与泛素样蛋白质Atg8和Atg12结合的E1样泛素连接酶。
● 形状:抗血清。不含防腐剂和稳定剂
● 抗原:与人Atg7的氨基酸序列556-571相当的合成肽
● 特异性:与人、大鼠、小鼠的Atg7反应
● 实际稀释倍率:Western blotting 1:1,000~5,000
● 推荐稀释缓冲液:1% BSA in 20mmol/l Tris-HCl(pH 7.5), 0.15mol/l NaCl, 0.1% NaN3
※ 背景较高的情况下,请使用加入0.1% Tween20的稀释缓冲液。
|
|
用SDS-PAGE分离MEF(小鼠胎儿成纤维细胞)的提取液,转至PVDF膜后,以本品为第一抗体,进行Western blotting。 Atg7+, Atg3+ ・・・野生型、Atg7- ・・・Atg7缺失型、 Atg3- ・・・Atg3缺失型 一抗:本品(1:1,000)、室温、反应1小时 二抗:HRP标记山羊抗兔IgG(1:20,000)、室温、反应1小时 (数据提供:顺天堂大学医学部生化学第一讲座 上野隆) |
|
产品编号 |
产品名称 |
规格 |
容量 |
|
013-22831 |
Anti Human Atg7, Rabbit |
免疫组化用 |
50μl |
◆相关产品
自噬活性化因子
|
产品编号 |
生产商编号 |
产品名称 |
规格/制造商 |
容量 |
|
185-01721 |
– |
Resveratrol 白藜芦醇 |
生化学用 |
100mg |
|
181-01723 |
– |
500mg |
自噬抑制剂
| 产品编号 | 生产商编号 | 产品名称 | 规格/制造商 | 容量 |
|
038-17971 |
- |
Chloroquine diphosphate 磷酸氯喹 |
生化学用 |
5g |
|
036-17972 |
25g |
|||
|
054-08021 |
- |
E 64d |
细胞生物学用 |
1mg |
|
050-08023 |
5mg |
|||
|
129-04861 |
- |
LY-294002 |
生化学用 |
5g |
|
125-04863 |
10g |
|||
|
123-04864 |
25g |
|||
|
230-02341 |
- |
(+)-Wortmannin 渥曼青霉素 |
细胞生物学用 |
2mg |
|
236-02343 |
10mg |
参考文献
1). Ishii, T., et al.: Biochem. Biophys. Res. Commun., 226, 456(1996).
2). Ishii, T., et al.: J. Biol. Chem., 275, 16023(2000).
3). Komatsu, M., et al.: Cell, 131, 1149(2007).
4). Nakaso, K., et al.: Brain Res. Mol. Brain Res., 69, 155(1999).
5). Jiang,P.,et al.: Methods,75,13(2015).
| 产品编号 | 产品名称 | 产品规格 | 产品等级 | 产品价格 |
| 010-22841 | Anti Rat LC3, Rabbit | 50μl | 免疫组化用 | |
| 018-22141 | Anti SQSTM1/A170/p62, Rabbit | 100μl | 免疫组化用 | |
| 013-22831 | Anti Human Atg7, Rabbit | 50μl | 免疫组化用 |



